Parodontologia
La parodontologia è una branca della odontoiatria che si occupa dello studio, della diagnosi e del trattamento delle malattie che colpiscono i tessuti di supporto dei denti, ovvero il parodonto.
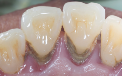
Le malattie parodontali più comuni includono la gengivite e la parodontite. La gengivite è una infiammazione della gengiva causata principalmente da accumulo di placca batterica, che può provocare arrossamento, gonfiore e sanguinamento delle gengive. Se non trattata, la gengivite può progredire in una forma più grave di malattia parodontale chiamata parodontite. La parodontite coinvolge anche l’infiammazione e la perdita di tessuto osseo attorno ai denti, che può portare alla perdita dei denti stessi.
La parodontologia gioca un ruolo fondamentale nella salute orale complessiva, poiché le malattie parodontali non trattate possono avere conseguenze non solo sulla salute dei denti, ma anche su quella generale, con implicazioni per la salute cardiovascolare e altre condizioni mediche.
Prenota ORA la tua visita
Blog
articoli di approfondimento correlati
Parodontite e fumo: perché il fumo è uno dei principali nemici delle gengive
La parodontite è una malattia infiammatoria cronica che colpisce i tessuti di sostegno del dente, in particolare gengive, legamento parodontale e osso alveolare. Questa patologia rappresenta una delle principali cause di perdita dei denti negli adulti. Nella maggior...
Parodontite: i rimedi casalinghi più pericolosi e gli errori che peggiorano l’infiammazione gengivale
La parodontite, conosciuta anche come piorrea, è una malattia infiammatoria che danneggia i tessuti di supporto del dente. Nei primi stadi può manifestarsi con sintomi lievi come sanguinamento gengivale, gonfiore, arrossamento o alito cattivo persistente. Questi...
La Prevenzione dell’Erosione Ossea con le Amelogenine: Una Nuova Frontiera nella Parodontologia
Parodontite: Risposte alle Domande Più Comuni dei Pazienti
L’importanza dell’Igiene Orale: Un Approccio Innovativo con la Tecnica GBT
La Guida Completa alla Parodontologia: Domande Comuni, Trattamenti e Consigli per la Prevenzione
Cure Specialistiche per la Malattia Parodontale






