0824 52447 - 351 8039991 info@humanadent.it
Faccette dentali: come migliorare il sorriso in modo naturale

Un sorriso curato e armonioso ha un ruolo importante nel modo in cui ci presentiamo agli altri e nel rapporto con noi stessi. Denti macchiati, irregolari o usurati possono creare disagio, anche quando la salute orale è buona. Per questo motivo, negli ultimi anni sempre più persone cercano soluzioni efficaci per migliorare l’estetica del sorriso in modo naturale, senza ricorrere a trattamenti invasivi o complessi.

In questo contesto, le faccette dentali rappresentano una delle opzioni più richieste nell’ambito dell’odontoiatria estetica. Si tratta di una soluzione moderna che consente di correggere piccoli difetti visivi dei denti anteriori, migliorandone colore, forma e proporzioni. Il tutto con un approccio mirato e conservativo, pensato per rispettare il più possibile la struttura dentale originale.

Spesso le faccette vengono confuse con altri trattamenti estetici o considerate una scelta “puramente estetica”. In realtà, si tratta di un intervento che richiede una valutazione clinica accurata e una pianificazione attenta. Non tutti i casi sono uguali e non tutti i sorrisi necessitano dello stesso tipo di trattamento. Proprio per questo è fondamentale affidarsi a professionisti che sappiano valutare correttamente indicazioni, limiti e obiettivi realistici.

Le faccette dentali possono essere una soluzione valida in presenza di discromie permanenti, denti usurati, piccole fratture o irregolarità lievi. Tuttavia, devono essere inserite all’interno di un percorso di cura consapevole, che tenga conto non solo dell’estetica, ma anche della salute dei denti, delle gengive e dell’equilibrio della masticazione.

In questo articolo approfondiremo cosa sono le faccette dentali, quando sono indicate e quali vantaggi possono offrire. L’obiettivo è fornire informazioni chiare e utili, per aiutare il paziente a comprendere meglio questa soluzione e a fare scelte informate per il proprio sorriso, evitando decisioni affrettate o basate solo sull’aspetto estetico.

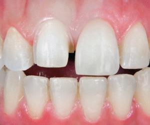
applicazione di faccette dentali in ceramica per migliorare il sorriso in modo naturale

Prenota ORA la tua visita

Cosa sono le faccette dentali e a cosa servono

Le faccette dentali sono sottili lamine realizzate su misura e applicate sulla superficie esterna dei denti anteriori.
Il loro obiettivo è migliorare l’aspetto del sorriso correggendo piccoli difetti estetici in modo mirato.

Vengono utilizzate soprattutto per intervenire su colore, forma e proporzioni dei denti.
Sono una soluzione indicata quando il dente è sano ma presenta imperfezioni visibili, come macchie permanenti, usura, lievi fratture o spazi irregolari.

A differenza di trattamenti più invasivi, le faccette permettono di ottenere un risultato naturale con una preparazione minima del dente.
Questo approccio conservativo consente di preservare la struttura dentale originale, riducendo l’impatto del trattamento.

È importante chiarire che le faccette dentali non sono una soluzione universale.
La loro indicazione dipende sempre da una valutazione clinica accurata e da una corretta pianificazione del risultato finale.

Quando utilizzate nei casi appropriati, rappresentano una valida opzione per migliorare il sorriso in modo equilibrato, rispettando funzionalità ed estetica.

faccette dentali per correggere forma e colore dei denti anteriori

Quando sono indicate le faccette dentali

Le faccette dentali sono indicate quando il paziente desidera risolvere problemi estetici senza ricorrere a trattamenti invasivi.
Possono essere una buona opzione in presenza di denti scoloriti che non rispondono allo sbiancamento, di piccole scheggiature o di usura dentale.
Sono utili anche per correggere spazi irregolari tra i denti o lievi disallineamenti anteriori.

È importante sottolineare che le faccette non sono adatte a tutti i casi. Prima di procedere, è necessario valutare la salute generale di denti e gengive.
Una corretta igiene orale e l’assenza di infiammazioni o carie sono prerequisiti fondamentali per un risultato soddisfacente.

Un utile approfondimento sul valore delle faccette in ceramica è stato pubblicato dal Dott. Alessio Bosco, che descrive come questa soluzione abbia rappresentato una vera rivoluzione nell’estetica del sorriso.
👉 faccette dentali in ceramica

L’articolo evidenzia come la tecnologia dei materiali e la pianificazione clinica permettano oggi risultati prevedibili e naturali.
Questa prospettiva sottolinea l’importanza di rivolgersi a professionisti competenti per valutare se le faccette siano la soluzione più adatta al proprio sorriso.

faccette dentali per correggere forma e colore dei denti anteriori

I vantaggi delle faccette dentali e la loro durata

Le faccette dentali offrono diversi vantaggi a chi desidera migliorare l’estetica del sorriso in modo naturale.
Uno dei principali benefici è il risultato visivo. Le faccette permettono di ottenere denti dall’aspetto armonioso, con colore e forma studiati su misura.

Un altro aspetto importante è l’approccio conservativo.
Rispetto ad altre soluzioni protesiche, le faccette richiedono una preparazione minima del dente. Questo consente di preservare una maggiore quantità di smalto naturale.

Dal punto di vista della resistenza, le faccette in ceramica sono progettate per durare nel tempo.
Se abbinate a una corretta igiene orale quotidiana e a controlli periodici, possono mantenere stabilità ed estetica per molti anni.

È fondamentale seguire alcune semplici regole dopo il trattamento, come evitare cattive abitudini e mantenere una buona pulizia orale.
In questo modo, il sorriso resta naturale e funzionale nel tempo, senza alterazioni di colore o forma.

faccette dentali per correggere forma e colore dei denti anteriori

Le faccette dentali rappresentano quindi una soluzione efficace per chi cerca un miglioramento estetico duraturo, ma sempre inserito all’interno di un percorso di cura consapevole e personalizzato.

Domande frequenti sulle faccette dentali

Le faccette dentali fanno male?

No, il trattamento non è doloroso.
La preparazione del dente è minima e, se necessario, viene eseguita con anestesia locale per garantire il massimo comfort.


Quanto durano le faccette dentali?

Le faccette dentali possono durare molti anni.
La durata dipende dall’igiene orale, dai controlli periodici e dalle abitudini del paziente.


Le faccette dentali rovinano i denti naturali?

No, se correttamente indicate.
Il trattamento è conservativo e progettato per preservare la struttura dentale sana.


Quando sono indicate le faccette dentali?

Le faccette dentali sono indicate in caso di macchie permanenti, denti usurati, piccole fratture o lievi irregolarità di forma.
È sempre necessaria una valutazione clinica per stabilire se siano la soluzione più adatta.


Le faccette dentali si possono rimuovere?

Le faccette dentali sono una soluzione stabile e a lungo termine.
Una volta applicate, non possono essere semplicemente rimosse senza sostituirle.


È possibile sbiancare le faccette dentali?

No, il colore delle faccette dentali non cambia con lo sbiancamento.
Per questo motivo, la tonalità viene scelta con attenzione prima dell’applicazione.


Le faccette dentali si macchiano nel tempo?

Le faccette in ceramica sono resistenti alle macchie.
Con una corretta igiene orale, mantengono il colore stabile per molti anni.


Dopo le faccette dentali si può mangiare normalmente?

Sì, dopo il periodo iniziale di adattamento si può tornare a una dieta normale.
È comunque consigliabile evitare abitudini dannose, come mordere oggetti duri.

Le faccette dentali sono una soluzione sempre più scelta da chi desidera migliorare il sorriso in modo naturale, senza ricorrere a trattamenti invasivi. Nel tempo, l’odontoiatria estetica ha messo a disposizione tecniche sempre più precise e conservative, pensate per correggere piccoli difetti dei denti anteriori rispettando la loro struttura originale. Macchie permanenti, denti usurati, leggere […]